Views: 0 Author: Site Editor Publish Time: 2016-04-20 Origin: Site
Recently, one of our customers sent us a case. He asked for clear aligners as usual, but we did not suggest to make aligners (or invisible braces) for the case. We think it is necessary to have a quick explanation for everybody.
In many situations, aligners are a good orthodontic solution for patients. They are almost invisible, and patients will fell nearly nothing when wearing them. They are effective in correcting misplaced mid-line, spacing, crowding, open bite and so on. However, there are some situations where aligners are not recommended alone.
Examples where aligner treatment is not advised alone

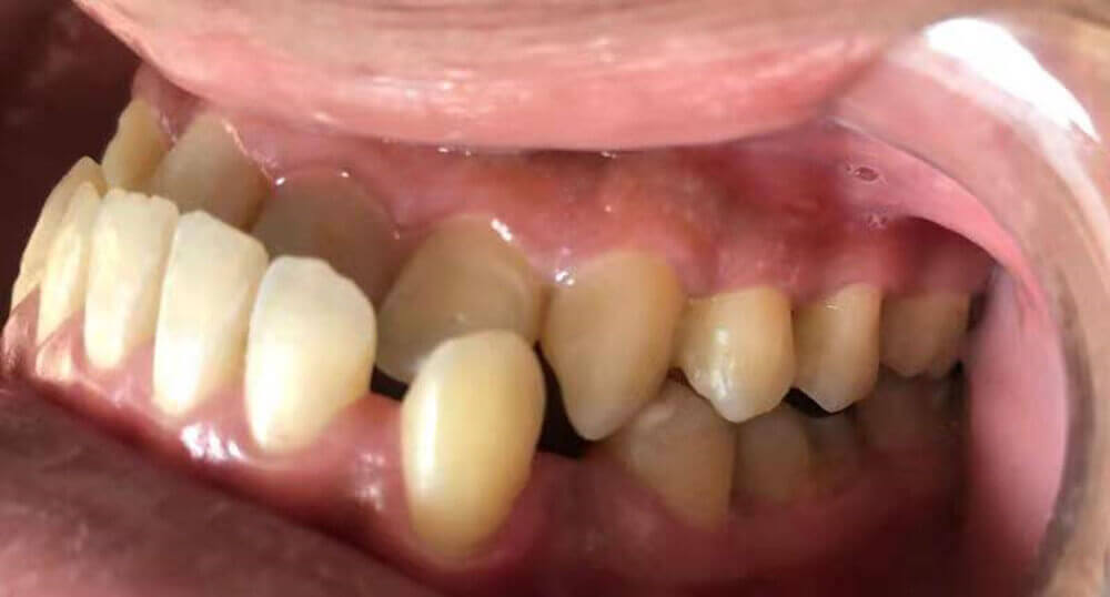
under-bite occlusion
Let’s look at this example (the above picture). The patient has serious under bite. It will be a lot faster and more efficient to first employ traditional orthodontic devices (such as palatal expander and orthodontic headgear) to obtain a normal bite. When the patient gets a normal occlusion, we can then align teeth with clear aligners.

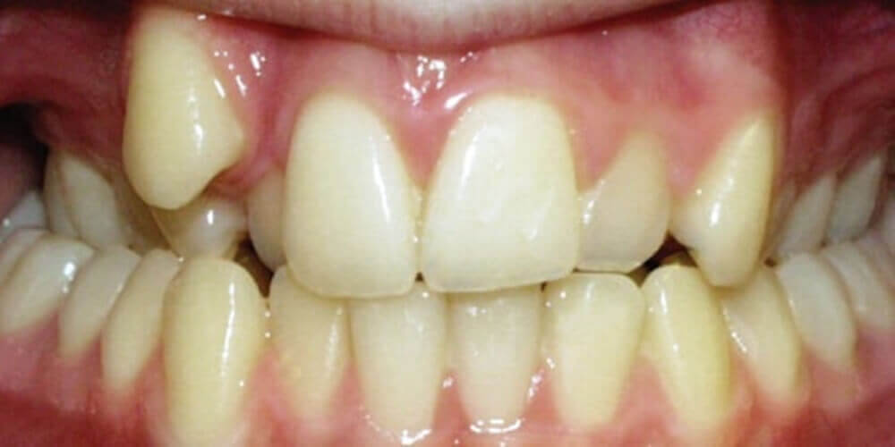
Severely crooked teeth
Let’s look at the second example (the above picture). The patient is with severe crooked teeth. It would take really long time and we might not see expected results after treatment, if we just use clear aligners. Therefore, a better way is to pull the canine down and expand the whole upper arch with traditional orthodontic appliances (such as palatal expander with tractors). Later, clear aligners can be applied for perfect results.
Need to know about clear aligners

clear aligner treatment plan
One very important thing of a clear aligner case is to have a professional treatment plan. Experienced technicians can foresee the final results. They know what to include in the whole treatment plan. By deeply communicating with orthodontists, one treatment plan could be refined several times before final production of aligners.

clear aligners with various finishing lines
A clear aligner can have different finishing lines, based on the preferences from orthodontists. As a professional clear aligner supplier, JuMei dental lab provides different finishing lines for orthodontists (Of course, customers can also choose the thickness of aligners). The first picture above is a finishing line that fully covers gums. The middle picture shows aligners where the finishing line covers around 2/3 teeth, and there are small lines inside the whole aligners. The last finishing line ends right where gum starts.
Surely, we can just make clear aligners for the above cases. Yet, we are now talking about more efficient ways to get expected results. Different cases may have varied orthodontic solutions. If you have difficult cases, please directly talk to us. Our expert technicians can surely help out with your business.