Views: 0 Author: Site Editor Publish Time: 2019-05-25 Origin: Site
Many individuals ask for DIY clear aligners or invisible braces. They want to buy impression kits and take impressions by themselves. Then aligner producers like us make aligners directly for them. This seems to be a good idea, because you can save a big amount of money in this way. However, as a responsible aligner maker, Robust suggests you to go to orthodontists, unless you only need minor adjustments.
Impressions
It is easy to source impression kits locally, but it’s not easy to operate. First, inappropriate operation of taking impressions could be dangerous. It is reported that some people bit on wet stone material (instead of silicone) — this could be a disaster. Second, your impressions could be taken wrongly, but you do not realize it at all. You are surely not as professional as dentists or orthodontists when it comes to taking impressions. Bad impressions will negatively impact the final results of your aligner treatment. It could be a total waste of time and money in the end.
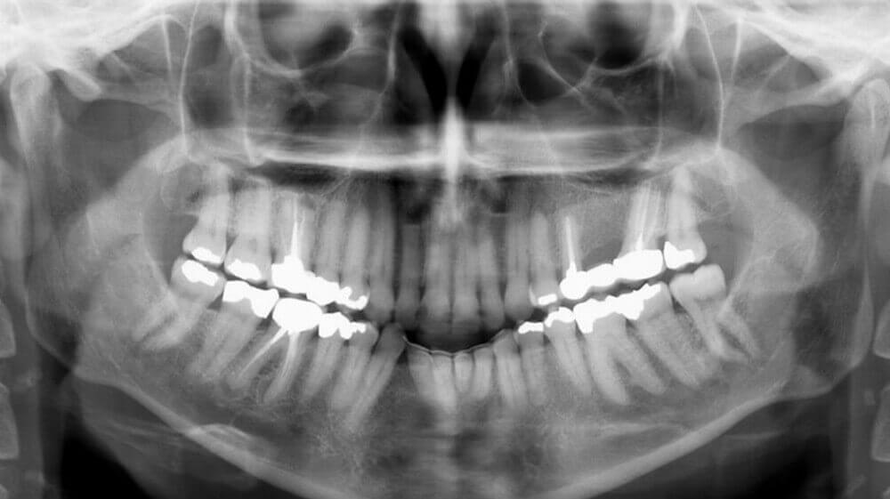
X-rays and photos

X-ray for aligner treatment
Usually, we have to first examine X-rays, since patients may have gone through RCT (Root Canal Therapy), and have implant crowns. By checking X-rays, we learn everything clearly and can make right planning for the whole treatment. You can easily have X-rays done in dental clinics or in hospitals. In many cases, however, you may have to first deal with your decayed teeth or even have certain teeth extracted. And you do not know when is the right time to treat with clear aligners.

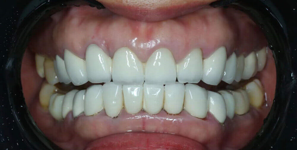
A photo of our PFM bridge, taken by one of our dentist customers from the US. Such professional photo enables us to study teeth clearly.
We may also need high-resolution photos that can show different angles of ALL your teeth. Usually orthodontists and dentists send us photos that allow us to thoroughly study patients’ oral conditions, while patients’ photos cannot.
IPR and Attachments

Even if tooth extraction is not needed, you may have to go through dental IPR (Inter-Proximal Reduction), which is a common method to acquire necessary space between adjacent teeth for the movements of teeth. Patients can never do this by themselves or by friends without dental experiences
The above aligner case is from one DIY patient. He insists on treatment without attachments. The result is that some front teeth cannot be pulled down.
Besides, most aligner treatments include attachments (dental composites that are bonded to certain teeth. They are needed to get stronger pulling force for the right movements of teeth). Without attachments, the whole treatment time is very likely to be extended. And the final result could be unsatisfactory.
Examination and Adjustments
The whole aligner treatment can be divided into several stages. Between stages, you may have to go to your orthodontists for examinations. If the results after certain stages are not expected, your orthodontists will contact aligner suppliers for improvements. This may require adjustments of the Treatment Plan, and might need a few more aligners. Patients are not professional. They cannot find problems during different stages of the treatment.